Smile Gallery
From subtle enhancements to complete smile makeovers, our testimonials show the artistry and precision Dr. Miely brings to every procedure he completes. While a picture is worth a thousand words, nothing speaks louder than the voices of our happy patients.

Smile Gallery
Real Smiles That Speak Volumes
From subtle enhancements to complete smile makeovers, our testimonials show the artistry and precision Dr. Miely brings to every procedure he completes. While a picture is worth a thousand words, nothing speaks louder than the voices of our happy patients.
Witness the Transformations
Our Patients Experience
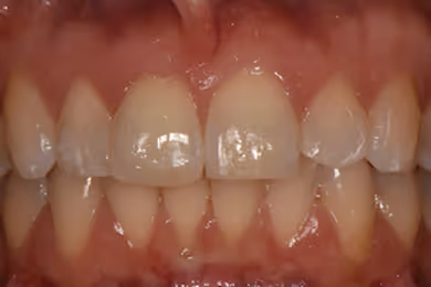
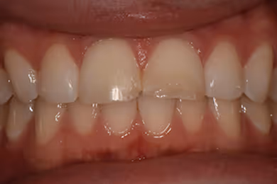
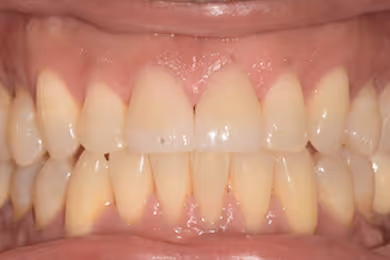
Classic Veneer Makeover
A patient came in unhappy with chipped, uneven front teeth. We restored harmony and symmetry with custom porcelain veneers, refining shape and shade to match her natural smile and facial features.
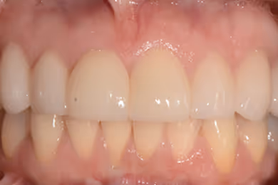
Brightening + Bonding Renewal
Stained, slightly misaligned teeth were holding one patient back from smiling broadly. We brightened the smile with professional whitening and refined tooth contours with composite bonding — a quick, minimally invasive refresh.
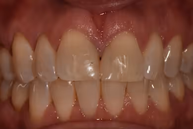
Full-Arch Restoration with Crowns
After years of wear, one patient needed more than whitening: broken and eroded enamel, old fillings, and uneven bite. We replaced multiple teeth with full-coverage crowns, restoring function, aesthetics, and bite comfort in a single comprehensive plan.
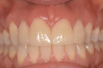
Diastema Closure with Veneers
One patient was concerned about a prominent gap between her two front teeth (a diastema). With conservative porcelain veneers, we closed the space beautifully and preserved as much tooth structure as possible.













